
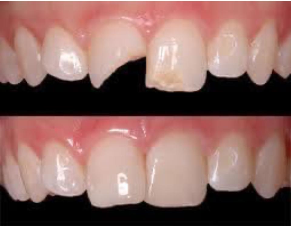
La ricostruzione in composito di un dente fratturato coronalmente è una procedura odontoiatrica mirata a riparare un dente danneggiato nella sua parte visibile (la corona) utilizzando un materiale estetico e durevole chiamato composito. Questo tipo di intervento è spesso indicato quando un dente è scheggiato, rotto o presenta una frattura che non coinvolge in modo esteso la radice o il tessuto sottostante.


La riabilitazione fissa a carico immediato tipo full-arch e All-on-4 è una procedura odontoiatrica avanzata per ripristinare l’estetica e la funzionalità di un’intera arcata dentale (superiore o inferiore) utilizzando un numero ridotto di impianti dentali, solitamente quattro, che supportano una protesi fissa applicata immediatamente dopo l’intervento chirurgico. Grazie a questa tecnica, il paziente torna a casa con i denti fissi subito dopo l’intervento.


Riabilitazione implantare in una zona ad alta valenza estetica, come quella anteriore, che prevede l’inserimento di un impianto dentale seguito dalla ricostruzione dei tessuti duri e molli per ottenere un risultato naturale e armonico. La procedura include una rigenerazione ossea per aumentare il supporto necessario e, successivamente, un rimodellamento o un innesto gengivale per migliorare il contorno e il volume dei tessuti molli, assicurando un’estetica ottimale.


La rigenerazione ossea guidata (GBR) dell’emiarcata sinistra superiore è una procedura chirurgica utilizzata per aumentare il volume osseo in un’area specifica della mascella, preparando il sito per un futuro posizionamento implantare. Questo intervento prevede l’utilizzo di innesti ossei (autologhi, sintetici o eterologhi) e di membrane protettive che guidano la crescita dell’osso nella zona desiderata. Le immagini TAC forniscono una valutazione dettagliata della quantità di osso presente e della necessità di rigenerazione, permettendo di pianificare l’intervento con precisione per garantire un risultato ottimale.
